В Коломне женщине удалили трёхкилограммовую опухоль почки
18.02.2026

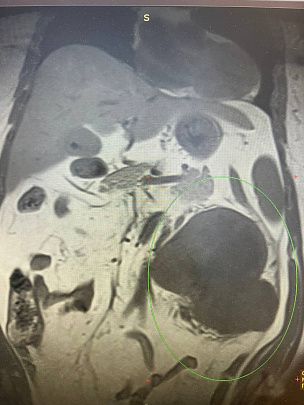
57-летняя женщина поступила в Коломенскую больницу с острой болью в левом боку и примесью крови в моче. При проведении диагностических исследований была выявлена крупная опухоль почки, которая занимала всё забрюшинное пространство слева и часть брюшной полости. Ситуация осложнилась ещё одной диагностической "находкой" – единичным метастазом опухоли в лёгких.
Было принято решение выполнить операцию по удалению почки лапароскопическим доступом – через небольшие проколы размером от 0,5 до 1 см, а для извлечения органа был использован миниразрез. Тактика малоинвазивного вмешательства была выбрана для того, чтобы женщина в максимально короткие сроки после операции смогла приступить к противоопухолевой терапии. Операция продолжалась около 3,5 часов и прошла без осложнений.
В результате нефрэктомии пациентке удалена опухоль левой почки размером 25 см и весом примерно 3 кг. Уже спустя пять суток после операции женщина была выписана из стационара и направлена для проведения противоопухолевой терапии в Центр амбулаторной онкологической помощи Коломенской больницы.
Источник
Было принято решение выполнить операцию по удалению почки лапароскопическим доступом – через небольшие проколы размером от 0,5 до 1 см, а для извлечения органа был использован миниразрез. Тактика малоинвазивного вмешательства была выбрана для того, чтобы женщина в максимально короткие сроки после операции смогла приступить к противоопухолевой терапии. Операция продолжалась около 3,5 часов и прошла без осложнений.
В результате нефрэктомии пациентке удалена опухоль левой почки размером 25 см и весом примерно 3 кг. Уже спустя пять суток после операции женщина была выписана из стационара и направлена для проведения противоопухолевой терапии в Центр амбулаторной онкологической помощи Коломенской больницы.
Источник
Подписывайтесь на нас!
Получайте самые свежие новости в Коломне